L'Arthrose

in #fr8 years ago

L'arthrose.jpg

Hello les steemians, j'espère que ça roule pour vous !


Aujourd'hui, je vous propose de découvrir l'arthrose, une belle pathologie qui va venir enquiquiner nos vieux jours !

L'Arthrose

Qu'est ce que l'arthrose ?

L'arthrose est une maladie articulaire. Cependant avant d'en savoir plus sur cette pathologie, il faut en connaitre d'avantage sur les articulations.

En simplifiant au maximum, une articulation est composée de deux os qui se font face. L'extrémité de ces os est recouverte de cartilage. Le cartilage est un tissu avasculaire (il n'y a pas de vaisseaux sanguin) et non innervé. L'ensemble de cette structure est contenue dans une gaine que l'on appelle la membrane synoviale. Cette membrane secrète de la synovie, qui est en quelque sorte l'huile permettant le glissement des différentes structures.

Capture d’écran 2018-07-24 à 22.31.55.png
Schéma d'une articulation
Crédit : By Madhero88, from Wikimedia Commons

L'arthrose survient suite à un processus dégénératif. En effet, avec le temps, les efforts physiques et les contraintes mécaniques, le cartilage présent dans nos articulations va se dégrader. Ce cartilage étant non vascularisé, il ne peut se réparer. L'atteinte du cartilage peut se diviser en 3 stades :

  • Stade initial : le cartilage est oedématié, ramollis. Cela entraîne une diminution des propriétés biomécaniques.
  • Stade intermédiaire : apparition de fissures superficielles du cartilage.
  • Stade final : mise à nu de l'os.

De cette destruction cartilagineuse va resulter une modification de l'os sous-jacent et une inflammation synoviale.

L'arthrose est donc une pathologie qui va toucher l'ensemble de la structure articulaire. Cette maladie peut toucher toutes les articulations de notre organisme. Cependant, ils existent une prédominance au niveau du rachis (colonne vertébrale), des hanches et des genoux.

Existe-t-il des facteurs de risque de l'arthrose ?

Absolument, ces facteurs de risque se rajoutent à une susceptibilité propre au cartilage :

  • Age : généralement rare chez les moins de 40 ans et très fréquente après 60 ans (une personne sur deux environ souffre d'arthrose à 60 ans)
  • Surpoids : l'obésité est un facteur de risque pour les articulations portante (rachis, genou, hanche) et est aussi un facteur de risque pour les articulations non-portante (articulation des mains par exemple). Faites attention à votre poids, vous pouvez calculez facilement votre IMC en cliquant ici.
  • Hérédité
  • Statut hormonal : l'arthrose est plus importante chez les femmes que chez les hommes.
  • Facteurs biomécaniques : ports de charges lourdes, antécédent de chirurgie, ...
  • Anomalies métaboliques : arthrites microcristallines (goutte,...), l'hémochromatose (cette pathologie est caractérisée par une surcharge en fer), le diabète.
  • Troubles de l'architecture des membres qu'ils soient congénitaux ou acquis.

Quels sont les signes évoquant de l'arthrose ?

Le principal symptôme est la douleur. Elle est souvent associée à une raideur. Ces signes cliniques entraînent une limitation dans certaines activités de la vie quotidienne. (marche, montée d'escalier, l'habillage.)

En rhumatologie, on décrit deux types d'horaires pour la douleur :

  • L'horaire mécanique : la douleur apparaît à l'effort, et est calmée par le repos. Elle ne réveille pas la nuit, sauf lorsque le patient change de position. Généralement, cette horaire ne présente pas de dérouillage matinale.
  • L'horaire inflammatoire : la douleur apparaît au repos, et est calmée lors de l'effort. La douleur réveille la nuit, et un dérouillage matinale est présent.

Dans le cadre de l'arthrose, la douleur est d'horaire mécanique.

Comment peut-on faire le diagnostic d'arthrose ?

En plus des signes cliniques, il faut réaliser des radiographies des articulations touchées. Plusieurs signes radiologiques existent :

  • Pincement de l'interligne : les os formant l'articulation se retrouvent en contact.
  • Ostéophytose : il y a formation d'excroissance au niveau des articulations atteintes.
  • Géodes : ce sont des lacunes osseuses au niveau des zones de pincement.
  • Ostéosclérose condensante : les os se condensent.
    Un moyen mnémothechnique pour les retenir : POGO

Osteoarthritis_left_knee.jpeg
Image de radiologie du genou où l'on aperçoit un pincement de l'interligne articulaire, une ostéosclérose condensante en regard et possiblement une géode.
Crédit : Par James Heilman, MD, de Wikimedia Commons

Les signes biologiques n'ont que très peu de valeur diagnostic.

Comment traiter l'arthrose ?

Pour commencer, il ne faut pas se jeter immédiatement sur la chirurgie car même dans les formes très évoluées, le traitement médical à sa place. Ce traitement comporte :

  • Le ménagement de l'articulation douloureuse : il est important d'avoir une activité physique, comme la marche, la natation et le vélo. Cependant, lorsque les poussées douloureuses sont trop importantes, il est recommandé de s'accorder quelques jours de repos. De même, il faut éviter de porter des charges trop lourde et perdre du poids.
  • Rééducation
  • Médicament : les antalgiques ont tout à fait leur place dans cette pathologie.
  • Anti-arthrosique : ce sont des médicaments que l'on prend par cure de 3 mois. Lorsque l'arthrose est débutante, ces médicaments ont montré une efficacité. De plus, ils présentent un effet rémanent, c'est-à-dire qu'après la cure, les biens faits du médicament persistent quelques semaines. À partir du 1er aout 2018 ces médicaments ne seront plus remboursés par la sécurité sociale.
  • Viscosupplémentation : le médecin injecte une substance dans l'articulation. Cette substance se solidifie afin de créer une sorte de coussin amortisseur. A priori, cette technique marche plutôt bien avec des durées d'actions pouvant aller jusqu'à 2 ans.

Le traitement chirurgical doit être proposé chez les sujets jeunes et/ou lorsque l'arthrose est très invalidante. Ce sont les interventions les plus réalisées en France avec respectivement 150 000 et 100 000 poses de prothèse par an pour la hanche et pour le genou.

PTG_P.jpeg
Image de radiographie montrant une prothèse de genou
Crédit : Wikipédia

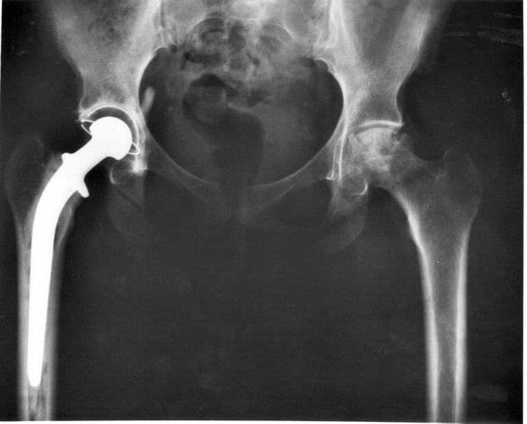
Hip_replacement_Image_3684-PH.jpeg
Image de radiologie montrant une prothèse totale de hanche
Crédit : By X-ray Image ID: 3684. Photographer: Unknown. [Public domain], via Wikimedia Commons

Existent-il des risques pour les personnes ayant des prothèses articulaire ?

Plusieurs types d'évènement indésirables existent en effet :

  • L'infection : malgré le fait que les règles d'asepsie soit respecté à la lettre, l'introduction d'un matériel étranger dans l'organisme expose toujours à un risque d'infection.
  • Usure : avec le temps les pièces s'usent.
  • Descellement
  • Ossification de la prothèse : le tissu osseux prolifère et vient recouvrir la prothèse.

Voilà, nous avons fait le tour d'une des pathologie les plus fréquentes. J'espère que cet article vous aura plu. Si vous avez la moindre question, n'hésitez pas à m'en faire part dans les commentaires !
A bientôt !

Sources :

Sort:  

merci infiniment,
Sais-tu si à travers l'alimentation, il est possible de préserver/entretenir l'articulation et le cartilage ?

Merci à toi @Evildido pour cette question très intéressante ! A priori pas directement, je viens de regarder s'il y avait des articles publiés sur le sujet mais je ne trouve rien. Cependant, l'obésité étant un facteur de risque, il est important de surveiller son poids donc avoir une alimentation saine et équilibrée ainsi qu'une activité physique régulière !

Cet article a été nominé pour figurer dans la sélection des @francosteemvotes ! Félicitations !

Merci beaucoup @francosteemvotes ! :)



This post has been voted on by the steemstem curation team and voting trail.

There is more to SteemSTEM than just writing posts, check here for some more tips on being a community member. You can also join our discord here to get to know the rest of the community!

Merci pour ton article très intéressant.
Je suis directement touché par ce problème depuis mes 35 ans, stade 3 au genou et depuis deux ans la hanche.
J’avais déjà fait un article il y a quelques mois, pour expliquer mon problème de genou et la solution trouvée (base de travail sur la biomécanique), pour éviter la prothèse.
Pour les douleurs, il existe des anti-inflammatoires naturels tels que l’harpagophytum, Glucosamine, Chondroïtine qui contrairement à d’autre ne détruit pas l’estomac et sont efficaces.
Certaines études existent en ce moment pour traiter la cause et ces effets, courant 2018 un médicament devrait être validé pour la partie douleurs.
Une autre étude sur la reconstitution à montrer des résultats encourageant mais à ce jour aucune sortie prévue.

Très bel article résumant très bien cette pathologie!Tu as réussi à bien expliquer les différents aspects de façon claire et précise! Merci à toi ;)

Merci pour ce commentaire @Lamouthe, ça fait plaisir ! :) J'espère continuer sur cette voie alors.

Hi @whentone!

Your post was upvoted by utopian.io in cooperation with steemstem - supporting knowledge, innovation and technological advancement on the Steem Blockchain.

Contribute to Open Source with utopian.io

Learn how to contribute on our website and join the new open source economy.

Want to chat? Join the Utopian Community on Discord https://discord.gg/h52nFrV

Merci pour ton article :)
Pour le fait que les personnes de moins de 40 ans soient peu touchées, mon médecin n'est pas trop d'accord avec ça. En fait si on faisait des radios aux personnes de moins de 40 ans on se rendrait compte d'après elle que l'arthrose est déjà assez fréquent à cet âge mais souvent il ne gêne pas donc pas de radio pour le vérifier. Moi j'en ai au niveau de la colonne à un stade assez avancé d'après le radiologue et ceci bien avant d'avoir eu 40 ans ;)

Avec plaisir @Kalypso56 ! :)
En effet, il est fort probable que si l'on réalise à titre systématique des radiographies des articulations avant 40 ans on trouve des signes radiologique prémonitoire d'une pathologie arthrosique chez un bon nombre de sujets. De plus, de l'arthroses est possible chez certains patients bien avant 40, en fonction des facteurs de risques.
Cependant, lorsque l'on est professionnel de santé et qu'un jeune patient vient pour douleurs articulaires, on va plutôt s'orienter vers des pathologies traumatiques, infectieuses, rhumatismales autres que l'arthrose. L'arthrose sera évoquée une fois que les autres pathologies "traitables" auront été écartées. Chez une personne plus âgée, on évoquera également ces pathologies, mais l'on ira sûrement moins loin dans les investigations, car l'arthrose y est plus fréquente.

Congratulations @whentone! You have completed the following achievement on Steemit and have been rewarded with new badge(s) :

Award for the number of upvotes received

Click on the badge to view your Board of Honor.
If you no longer want to receive notifications, reply to this comment with the word STOP

To support your work, I also upvoted your post!

Do you like SteemitBoard's project? Then Vote for its witness and get one more award!

Informations très importantes, merci
A cette occasion, je voudrais vous remercier ainsi que tous les médecins qui travaillent dur pour maintenir notre santé

Merci à toi @benainouna ! :)
J'espère prodiguer de bon soins à mes patients et grâce à steemit je consolide mes connaissances !