Man With Empty Brain Functions Perfectly Fine

in #science9 years ago (edited)

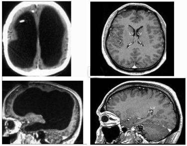
A 44 year old man goes to his doctor as he has had a weak left leg for the past two weeks. He has had no previous medical anomalies, except for one- as an infant, he had hydrocephalus, water in the brain, but this was treated using a stunt, 30 years ago, at the age of 44. While diagnosing his leg pain, the doctors were wary of this fact, and although the stunt had been successful, it had been 30 years, so they ordered an MRI scan, just to be safe. This is what they found:

    On the right side is a normal brain- note how it is all filled in. In contrast, his brain (left) was mostly empty- the black spaces are Cerebrospinal fluid; this man had been living his entire life with a brain filled with water. 

    Although he was no genius, this man was still able to live relatively fine; his IQ was tested to be 75, and he worked as a civil servant. This is quite unusual and surprising, as most people who experience this type of damage in a short amount of time would have died. In this case, the damage was likely done over a long period of time, which would have allowed for his brain to adapt and rewire. 

    Pretty incredible.